Warum Sie profitieren!
Zahntechnik bedeutet für uns Präzision, Verlässlichkeit und partnerschaftliche Zusammenarbeit.
Unser Anspruch ist es, Zahnarztpraxen mit Lösungen zu unterstützen, die funktional überzeugen, ästhetisch anspruchsvoll sind und sich harmonisch in die jeweilige Versorgung einfügen.
Jede Arbeit verlässt unser Labor mit dem Ziel, höchste Qualität, natürliche Wirkung und perfekte Passung zu vereinen.
So entstehen Ergebnisse, auf die Sie sich in der täglichen Praxis verlassen können — zuverlässig, individuell und auf hohem zahntechnischem Niveau.
Wofür wir stehen!
-Präzision
- Ästhetik
- Verlässlichkeit
- Individualität
- Vertrauen
Was wir täglich für unsere Kunden leisten
Wir werden Ihrem Anspruch gerecht und fertigen Unikate, die so einmalig und wertvoll sind wie Sie es sind!
Verschraubte Implantatbrücken fühlen sich für den Patienten an wie die eigenen Zähne.
Implantsteg verankerte Brücke. Für den Patienten abnehmbar, aber der Tragekomfort von festen Zähnen.
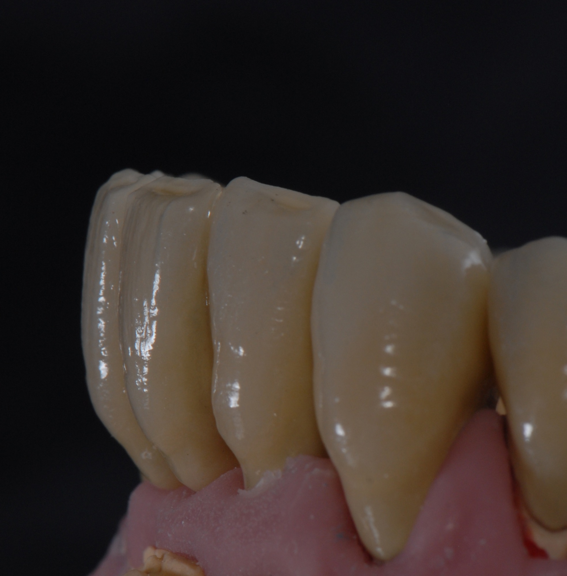
Metallfreie Frontzahnkronen mit individueller keramischer Verblendung.
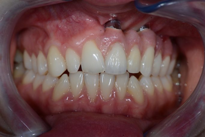
Teleskopierende Oberkieferbrücke mit Vorher- und Nachher-Situation des Patienten.
Teleskopierende Oberkieferbrücke. Wie die eigenen Zähne, aber einfach zu reinigen.
Teleskopierende Brücken im digitalen Ablauf hergestellt.
Kombination aus implantatverankerten Brücken und auf natürlichen Stümpfen verankerten Kronen.
Veneerversorgung mit non-invasiven Veneers zur Verbesserung der Ästhetik.
Totalsanierung mit keramischen Kronen, Teilkronen und Veneers.
Veneers und Krone zur Verbesserung der Ästhetik.
Virtuelle Planung mit Vorab-Provisorium aus dem Labor.
Kombination aus vollkeramischen Frontzahnkronen und metallbasierten Seitenzahnkronen mit dünn auslaufenden Rändern.
Der Monoreduktor stellt eine implantatfreie Alternative für einen zahnlosen Bereich in Kombination mit einer mindestens dreigliedrigen Kronenversorgung dar.
Klammerprothesen stellen eine einfache aber effiziente Versorgung von verloren gegangenen Zähnen dar.
Vollkeramische Teilungsbrücke zum Ersatz der fehlenden Zähne und minimalinvasiver Verankerung.
Implantatbrücke zur Wiederherstellung der Zahn- und Zahnfleischanteile mit verschraubten Brücken.
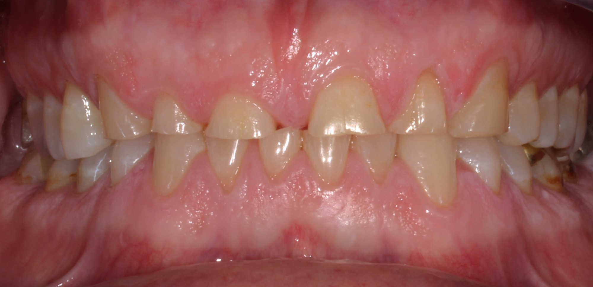
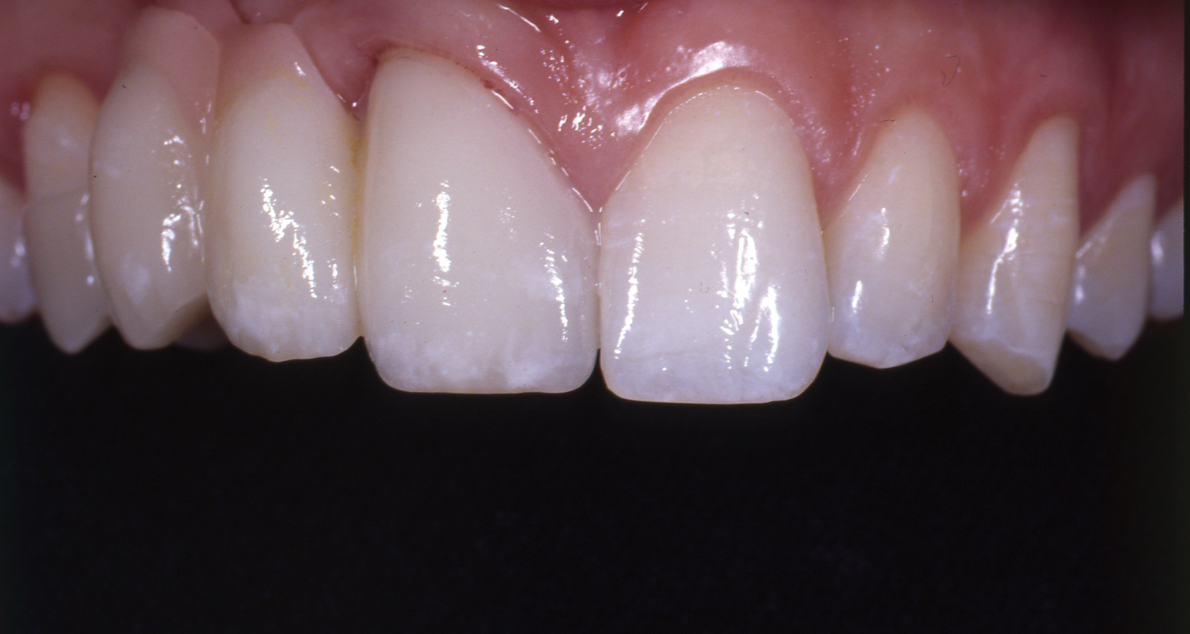
Frontzahnkronen Oberkiefer neu zur Verbesserung der Ästhetik.
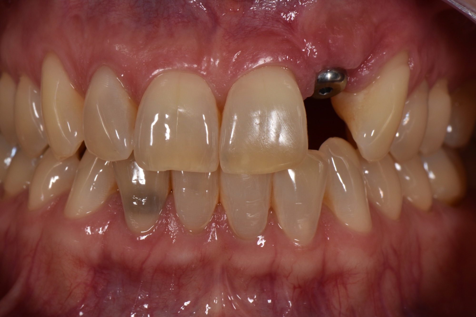
Frontzahnkrone auf Implantat zum Lückenschluss des seitlichen Frontzahnes.











































































































